Home
ЗА НАС
БРЕКЕТИ
Ортодонтски апарати
Често задавани въпроси
Галерия
БЛОГ
Контакти
Ортодонтска практика д-р Недева – Стара Загора
Ортодонтия в Стара Загора – лечение на деца и възрастни
Search
Search
Facebook
Ортодонтска практика д-р Недева – Стара Загора
Home
»
Галерия
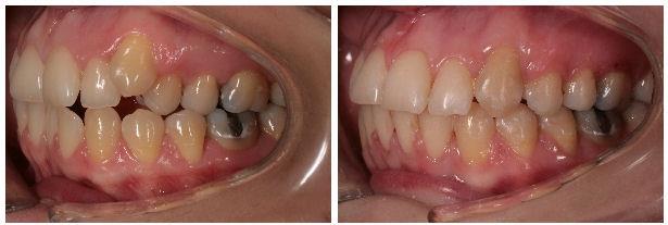
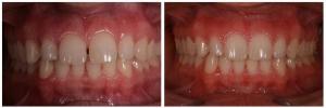
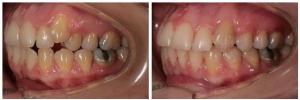
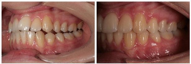
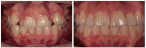
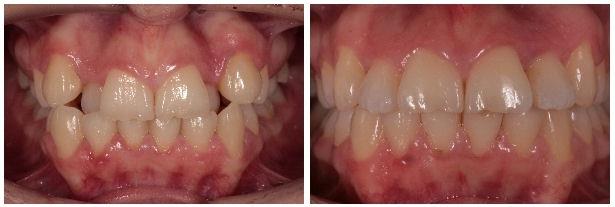
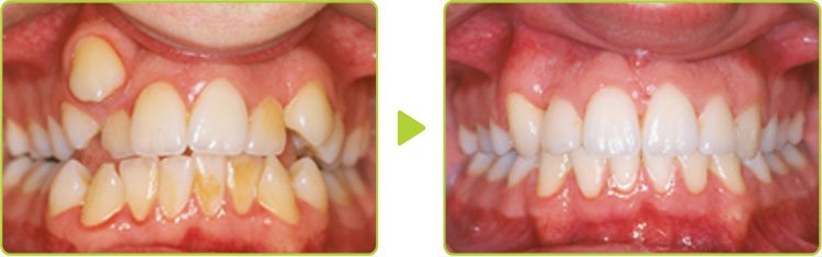
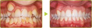
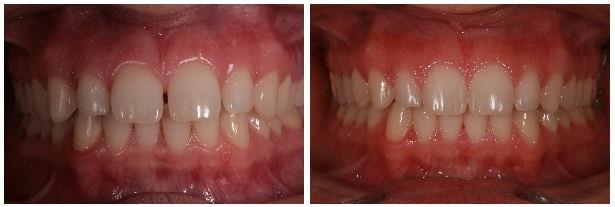
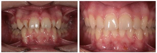
Галерия
Share this:
Share on X (Opens in new window)
X
Share on Facebook (Opens in new window)
Facebook
Like
Loading...
Leave a comment
Cancel reply
Δ
Subscribe
Subscribed
Ортодонтска практика д-р Недева - Стара Загора
Sign me up
Already have a WordPress.com account?
Log in now.
Ортодонтска практика д-р Недева - Стара Загора
Subscribe
Subscribed
Sign up
Log in
Copy shortlink
Report this content
View post in Reader
Manage subscriptions
Collapse this bar
Loading Comments...
Write a Comment...
Email (Required)
Name (Required)
Website
%d